Página inicial / Emergência / AVC isquêmico extenso da artéria cerebral média: quando a clínica antecede a tomografia

AVC isquêmico extenso da artéria cerebral média: quando a clínica antecede a tomografia

Picture of Dr. Josué Vieira

Dr. Josué Vieira

Médico Nefrologista, com 10 anos de atuação em emergência e UTI

CRM-MS: 14123
RQE: 8359 (Clínica Médica)
RQE: 8519 (Nefrologia)

RESUMO

Estava eu na sala vermelha, assumindo o plantão, quando fui reavaliar um paciente que já se encontrava no leito havia algumas horas. A história trazida pela filha era de um quadro neurológico em evolução havia cerca de 18 a 24 horas. E aqui já começo com uma das primeiras lições práticas do plantão: o relógio do acompanhante nem sempre é confiável, mas a neurologia quase sempre é.

Bastou iniciar o exame clínico para perceber que não se tratava de um déficit neurológico pequeno, transitório ou ambíguo. O paciente apresentava uma heminegligência espacial unilateral esquerda exuberante. Ele simplesmente não reconhecia estímulos vindos do lado esquerdo do próprio corpo. Não olhava, não reagia, não se incomodava. Era como se metade do mundo tivesse deixado de existir. Associado a isso, havia uma hemiparesia braquiocrural à esquerda, com predomínio claro no membro superior, além de uma paralisia facial central esquerda típica: desvio da rima labial para a direita, com preservação da musculatura frontal e do fechamento ocular.

No AVE isquêmico maligno da artéria cerebral média, a tomografia muda com o tempo. Antes de 6 horas, ela pode parecer “inocente”. Depois de 24 horas, o dano grita. A clínica sempre chega antes da imagem.

VEJA MAIS:

• Contrastes iodados modernos: a medicina saiu da barbárie osmótica e entrou na era do contraste civilizado
• Indicações de vasopressina no choque séptico: quando iniciar e como conduzir na prática da emergência
• Ventilação Não Invasiva (VNI): quando funciona, quando falha e quando está contraindicada
• Metas de oxigenação em pacientes críticos: por que “quanto mais, melhor” é um mito
• Torsades de Pointes: causas, diagnóstico e tratamento da arritmia do QT longo
• Intubação orotraqueal passo a passo: como fazer na prática real da emergência
• Glasgow ≤ 8 é igual a Intubação? Nem Sempre.

Esse detalhe da face é fundamental no plantão. A preservação da mímica frontal e do piscar afasta a lesão periférica e aponta diretamente para uma lesão central, supranuclear. E quando esse achado vem acompanhado de negligência, anosognosia e desvio do olhar, o mapa cortical começa a se desenhar quase sozinho.

O paciente também apresentava anosognosia franca. Questionado sobre o próprio déficit, não reconhecia qualquer alteração. Do ponto de vista da linguagem, apesar de ser venezuelano e apresentar disartria importante, era possível compreender respostas adequadas, não havia afasia. Ele compreendia adequadamente as perguntas e respondia de forma coerente, ainda que com lentificação psicomotora, fala monótona e prosódia empobrecida. Isso reforçava a hipótese de acometimento do hemisfério não dominante, geralmente o direito.

ACESSE A PÁGINA PRINCIPAL DO MEDNOBEL

No exame motor, outro ponto chamou atenção. No hemicorpo esquerdo, já havia espasticidade, hiperreflexia e hipertonia, além de Babinski positivo, com resposta em dupla retirada. Isso foge um pouco do que muitos esperam do AVC isquêmico muito precoce, quando frequentemente observamos hipotonia e arreflexia iniciais. Esse achado levantou imediatamente a suspeita de que o tempo real de evolução pudesse até ser maior do que o relatado, ou que o insulto fosse tão extenso que a fisiopatologia estivesse avançando rapidamente.

A sensibilidade era de difícil avaliação. Não por ausência de vias, mas porque a heminegligência tornava qualquer estímulo irrelevante para o paciente. Ainda assim, pelo território envolvido, a hipótese de hemianestesia global esquerda era altamente provável.

Somava-se a tudo isso um desvio do olhar conjugado para a direita, ou seja, para o lado da lesão, sugerindo comprometimento do campo ocular frontal direito. Quando juntamos todas essas peças, déficit motor com predomínio braquial, negligência, anosognosia, desvio do olhar, alterações sensitivas e cognitivas, o diagnóstico topográfico se impõe: um AVC isquêmico extenso em território da artéria cerebral média direita, com acometimento frontotemporoparietal.

VEJA MAIS:

• Síndrome do Homem Vermelho por vancomicina: uma reação de infusão, não uma alergia verdadeira
• Soro Ringer Lactato na hipercalemia: o mito, a fisiologia e a verdade clínica
• Nitroprussiato não exige acesso central: exige cérebro, vigilância e responsabilidade clínica
Anafilaxia e reação anafilactoide: por que essa diferença não importa no plantão
Profilaxia de úlcera de estresse: quando o omeprazol ajuda e quando só atrapalha

AVC isquêmico da artéria cerebral média: quando o território explica tudo

O predomínio do déficit no membro superior, associado às alterações sensitivas e cognitivas, é típico do território da artéria cerebral média. A heminegligência aponta para acometimento da região temporoparietal inferior. A anosognosia reforça o envolvimento parietal. O desvio do olhar sugere lesão frontal. Ou seja, não estamos falando de um pequeno ramo cortical, mas de uma oclusão proximal, com risco real de evolução para um AVC maligno.

Tomografia computadorizada de crânio sem contraste mostrando extensa área de hipodensidade hemisférica, com perda da diferenciação córtico-subcortical e apagamento de sulcos, compatível com AVC isquêmico em território da artéria cerebral média. À direita, esquema ilustrativo do território vascular correspondente no hemisfério cerebral.

E aqui entra um dos pontos mais importantes do plantão: a tomografia pode não acompanhar a clínica nas primeiras horas.

A tomografia computadorizada inicial desse paciente era, surpreendentemente, normal. Nenhuma hipodensidade clara, nenhuma perda evidente da diferenciação córtico-subcortical. Para quem olha apenas a imagem e não o doente, isso pode gerar falsa tranquilidade. Mas a neurologia não mente. A tomografia exclui hemorragia; quem faz diagnóstico é a clínica.

Mantivemos o paciente sob monitorização neurológica rigorosa e optamos por repetir a tomografia após 12 horas, com suporte clínico adequado. A suspeita seguia sendo de um AVC isquêmico extenso da artéria cerebral média, evento que sabemos poder evoluir com edema maciço, efeito de massa e risco de herniação.

Tomografia no AVC isquêmico: uma linha do tempo que muda conduta

Existe uma didática prática que gosto de ensinar no plantão sobre a evolução dos achados tomográficos no AVC isquêmico. Ela não é rígida, pois depende de colaterais, pressão arterial, reperfusão espontânea e intervenções, mas ajuda muito na vida real.

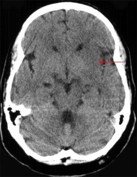
Nas primeiras 0 a 3 horas, o principal achado possível é o sinal da artéria hiperdensa, quando conseguimos visualizar diretamente o trombo no interior da artéria cerebral média. O parênquima, na maioria das vezes, ainda parece normal. A ausência de alterações não exclui AVC.

TC de crânio sem contraste, em corte axial, evidenciando sinal da artéria cerebral média hiperdensa (setas), achado sugestivo de trombo intraluminal e oclusão arterial aguda, compatível com AVC isquêmico em fase muito precoce.

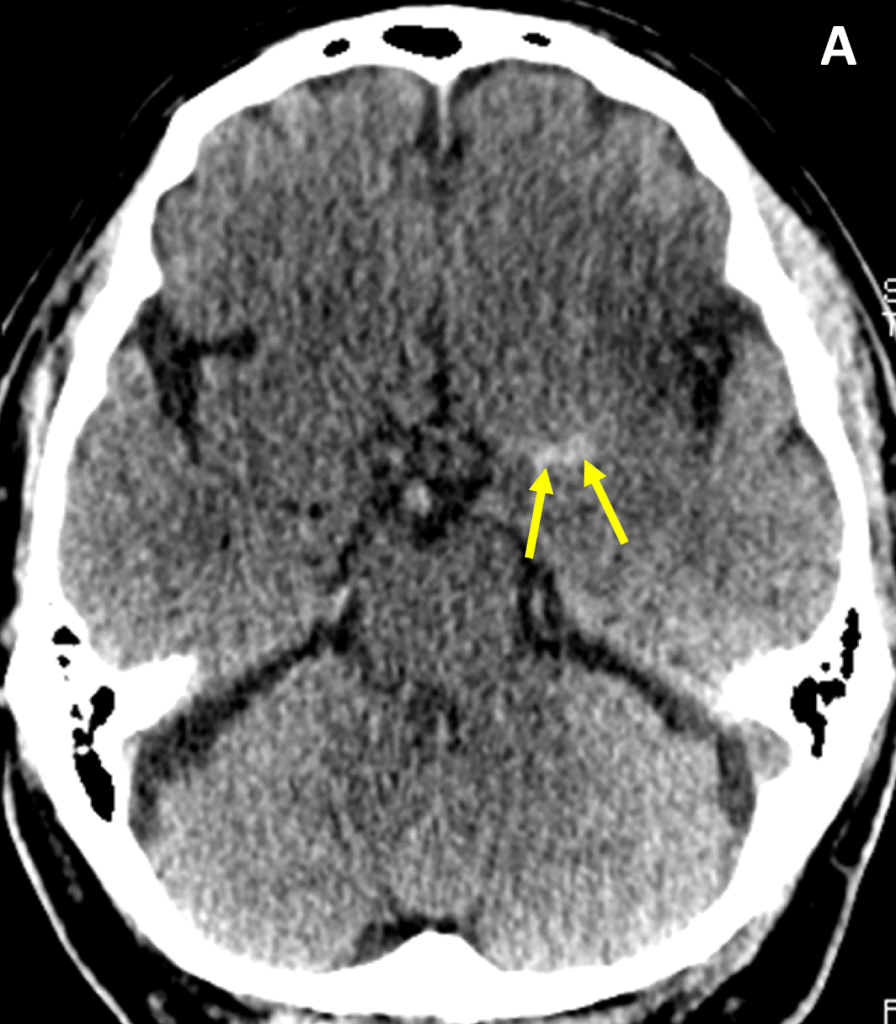
Entre 3 e 6 h, começam a surgir os sinais isquêmicos precoces. O mais clássico é o apagamento da ínsula, a chamada “insular ribbon”. A ínsula perde sua diferenciação normal porque a substância cinzenta começa a se igualar à branca. Também pode ocorrer o obscurecimento do núcleo lentiforme, que normalmente é um pouco mais hiperdenso. Aqui começa a perda da diferenciação córtico-subcortical.

TC de crânio sem contraste, em corte axial, evidenciando obscurecimento do núcleo lentiforme (seta), com perda da diferenciação em relação ao hemisfério contralateral preservado, achado clássico de isquemia cerebral precoce em território da artéria cerebral média.

De 6 a 12 horas, a hipodensidade passa a se tornar mais evidente e a ocupar maior extensão do território. Surge o apagamento de sulcos, sinalizando edema em progressão, e o início de efeito de massa, ainda que discreto.

Entre 12 e 24 horas, a lesão já está estabelecida. A hipodensidade é clara, o edema é mais pronunciado, e podem aparecer sinais de compressão ventricular ou desvio da linha média nos casos volumosos.

É entre 24 e 48 horas que o AVC maligno costuma cobrar seu preço. O edema citotóxico acelera, há apagamento de cisternas, colapso ventricular e risco real de herniação. É aqui que decisões difíceis entram em cena.

Gosto de resumir isso para os residentes de forma simples: primeiro o vaso fala, depois a substância cinzenta apaga, e por fim o crânio reclama.

Quando a tomografia inicial é normal, mas o AVC é gigante

No caso desse paciente, mesmo com um déficit neurológico exuberante, a tomografia inicial permaneceu normal por um período que parecia incompatível com a clínica. Isso levanta duas reflexões importantes no plantão. A primeira é que a contagem do tempo de início dos sintomas pode estar errada. A segunda é que a presença de circulação colateral pode atrasar a expressão radiológica do dano, mas não muda o fato de que ele está ocorrendo.

Quando repetimos a tomografia cerca de 36 horas após o início estimado, o exame mostrou exatamente o que a clínica já havia anunciado desde o primeiro minuto: uma extensa área de hipodensidade frontotemporoparietal direita, com perda da diferenciação córtico-subcortical, edema citotóxico importante, apagamento de sulcos e colapso do ventrículo lateral ipsilateral. Ainda não havia desvio do septo pelúcido nem sinais de herniação, mas o território estava todo desenhado.

Era, sem surpresa, um AVC isquêmico extenso da artéria cerebral média direita, provavelmente secundário a uma oclusão proximal de alto ônus trombótico.

O que realmente muda conduta no plantão

A grande lição desse caso não está na tomografia, mas na hierarquia correta das decisões. A clínica vem antes da imagem. A tomografia inicial serve para excluir hemorragia, não para tranquilizar diante de um déficit neurológico grave. A ausência de sinais precoces não exclui AVC, e quando esses sinais aparecem muito cedo, geralmente indicam dano irreversível.

Monitorar o exame neurológico seriado, acompanhar a evolução clínica e repetir a imagem no tempo certo é muito mais importante do que esperar uma TC “positiva” para acreditar no diagnóstico.

Conclusão prática: o que eu faço no plantão depois de ler isso?

Diante de um paciente com déficit neurológico focal extenso, topograficamente coerente e progressivo, confie na neurologia. Uma tomografia normal nas primeiras horas não afasta AVC isquêmico. Monitore, reavalie, documente o exame neurológico e repita a imagem no momento adequado. Lembre-se: no AVC extenso da artéria cerebral média, quem chega atrasado não é o diagnóstico, é a tomografia.

Se você quer treinar esse tipo de raciocínio clínico, aprender a correlacionar exame neurológico com neuroimagem e tomar decisões mais seguras no pronto-socorro, aprofunde seus estudos na área Tera Emergência do app TeraQuiz. É ali que a clínica ganha contexto real de plantão.

Deixe um comentário

O seu endereço de e-mail não será publicado. Campos obrigatórios são marcados com *

COMPARTILHE

WhatsApp
Facebook
Twitter
Threads
Telegram
Facebook

Outros conteúdos recomendados

Domine a Emergência com Segurança e Clareza. Aprenda a conduzir com excelência os quadros mais críticos e salve vidas com confiança

Nosso curso

Formação médica de excelência para salvar vidas em situações críticas

Tera Emergência

Domine a emergência com segurança e clareza. Aprenda a conduzir com excelência os quadros mais críticos e salve vidas com confiança

De R$ 4.694,00 por

R$ 1679

Dr Josué Vieira médico especializado em emergência e UTI

Aprenda com especialista que atua na linha de frente das emergências hospitalares

Capacite-se com o Dr. Josué Vieira, médico nefrologista, que atua na linha de frente da medicina de emergência. Aprenda protocolos atualizados e 100% online.

Conhecimento de quem vive a prática

Domine de verdade a emergência, com condutas claras e baseadas em evidência

Autoridade na sua rotina de trabalho

Ganhe confiança para assumir protagonismo no pronto-socorro e ser reconhecido pelos colegas

Seja referência em medicina de emergência

Melhore 1% a cada dia, evoluindo de forma constante até se tornar referência clínica

Formação que transforma sua carreira

Aprenda de forma progressiva, sem pular etapas, mas também sem perda de tempo com superficialidades

#image_title

O Tera Emergência é um ambiente completo de formação. Mais do que um curso em medicina de urgência e emergência, ele foi construído para médicos e estudantes que não aceitam mais a mediocridade do improviso.