Intubação de Sequência Retardada (DSI): quando o paciente não colabora e você precisa pré-oxigenar com segurança

Eu quero que você visualize a cena, porque ela é mais comum do que a gente admite. PS lotado, barulho, gente chamando, monitor apitando. E, no meio disso tudo, você tem um paciente que claramente está evoluindo com insuficiência respiratória progressiva. É aquele homem em abstinência alcoólica, suado, confuso, olhar arregalado, um misto de medo […]
Intoxicação alimentar ou gastroenterite aguda: a diferença que muda conduta, e quase me levou ao choque

Há poucos dias eu fiquei dois dias longe das redes sociais. Não foi estratégia. Foi sobrevivência. Eu estava de plantão na clínica de diálise. Pedi uma marmita pelo aplicativo, comi satisfeito, tranquilo, trabalhando normalmente. Uma hora depois, comecei a sentir uma distensão abdominal estranha. Náusea leve. Um suor frio discreto. Aquela sensação vaga de mal-estar […]
Uso racional de exames complementares: por que “pecar pelo excesso” também é errar

Eu me lembro de um paciente jovem, 30 anos, que voltava ao pronto-socorro como quem volta a um lugar conhecido demais. A queixa era sempre parecida, mas nunca “bonita” o suficiente para encaixar numa síndrome clássica: uma dor torácica bem inespecífica, acompanhada de episódios súbitos de taquicardia, náusea, vômito, diaforese e aquela sensação que o […]
PEEP na SDRA: quando ela salva o pulmão e quando ela derruba o paciente

Eu me lembro de uma vez em que eu estava ajustando a ventilação mecânica de um paciente com SDRA grave. Era aquele doente que não dá descanso: piora de oxigenação, mecânica ficando dura, e a hemodinâmica oscilando como se cada mudança no ventilador fosse uma negociação com o coração. Eu tinha na minha frente um […]
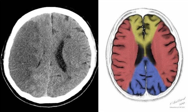
AVC isquêmico extenso da artéria cerebral média: quando a clínica antecede a tomografia

Estava eu na sala vermelha, assumindo o plantão, quando fui reavaliar um paciente que já se encontrava no leito havia algumas horas. A história trazida pela filha era de um quadro neurológico em evolução havia cerca de 18 a 24 horas. E aqui já começo com uma das primeiras lições práticas do plantão: o relógio […]
Profilaxia de úlcera de estresse: quando o omeprazol ajuda e quando só atrapalha

Inibidores de bomba de próton são medicações de primeira linha para profilaxia de sangramento gastrointestinal clinicamente significativo quando bem indicados. Podem ser utilizados tanto por via oral quanto por via endovenosa, sem diferença de eficácia em pacientes com trato gastrointestinal funcionante. A escolha da via não é hierarquia terapêutica, é contexto clínico.
Anafilaxia e reação anafilactoide: por que essa diferença não importa no plantão

Quero te convidar a caminhar comigo por uma cena absolutamente comum na vida real do plantão, dessas que parecem simples, mas escondem conceitos que confundem gerações de médicos. Se você me acompanhar até o final, prometo que essa leitura vai mudar a forma como você enxerga a anafilaxia, não no livro, mas na beira do […]
Nitroprussiato não exige acesso central: exige cérebro, vigilância e responsabilidade clínica

Uma lembrança de plantão que explica quase tudo Eu me lembro perfeitamente de uma época em que eu trabalhava em João Pessoa. Plantões longos, pressão alta chegando em ambulância, pacientes graves, aquele cenário em que decisões não podem ser adiadas porque alguém resolveu criar uma regra que não existe. Foi ali que eu tive um […]
Soro Ringer Lactato na hipercalemia: o mito, a fisiologia e a verdade clínica

O mito que assombra os plantões Poucos temas geram tanta confusão nos plantões quanto a eterna dúvida: “posso usar soro Ringer Lactato em pacientes com hipercalemia?”. A maioria responde de forma automática, “não pode, tem potássio!”, como se repetisse um mandamento. E, de fato, essa ideia parece intuitiva: se o paciente já tem potássio alto, […]
Síndrome do Homem Vermelho por vancomicina: uma reação de infusão, não uma alergia verdadeira

Você já deve ter visto isso no plantão: o paciente começa a infundir vancomicina, e minutos depois o rosto fica vermelho, quente, às vezes coça, e alguém corre para avisar que “o paciente está fazendo reação alérgica”. Mas será que é mesmo uma alergia?Essa confusão é extremamente comum, e ela muda completamente a conduta. Porque […]